What is it?
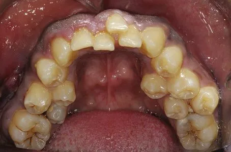
Hyperdontia is the condition of having supernumerary teeth, or teeth that appear in addition to the regular number of teeth. They can appear in any area of the dental arch and can affect any dental organ.The prevalence of hyperdontia is between 1% and 4% of the population with a male to female ratio of 2:1; the majority of cases are limited to a single tooth. There have been reported cases of over 30 supernumerary teeth in one person, but such large numbers are rare.
Understanding Hyperdontia and Its Severity
Hyperdontia is more than just an extra tooth—it can significantly impact your bite alignment, oral hygiene, and self-confidence. In cases of extreme hyperdontia, where multiple hyperdontia teeth develop, patients may face discomfort, crowding, and difficulty chewing. If you’re wondering, “is hyperdontia dangerous?”, the answer depends on the number, location, and growth direction of the supernumerary teeth. Left untreated, it may cause damage to surrounding teeth or even lead to cysts.
Symptoms
The main symptom of hyperdontia that you will notice is extra teeth that grow directly behind or close to your usual primary or permanent teeth. These teeth usually appear in adults. They’re twice as common in men than they are in women.
Extra teeth are categorized based on their shape or location in the mouth.
Shapes of extra teeth include:
- Supplemental- The tooth is shaped similarly to the type of tooth that it grows near.
- Tuberculate- The tooth has a tube or barrel-like shape.
- Compound Odontoma–The tooth is made up of several small, tooth-like growths near each other.
- Complex Odontoma- Rather than a single tooth, an area of tooth-like tissue grows in a disordered group.
- Conical, or peg-shaped- The tooth is wide at the base and narrows out near the top, making it look sharp.
Types of Hyperdontia Supernumerary Teeth
There are different types of hyperdontia supernumerary teeth, including supplemental, conical, and tuberculate forms. These extra teeth can appear anywhere in the dental arch but are most commonly found near the permanent incisors. Each type presents unique challenges for diagnosis and removal. Recognizing the early signs of hyperdontia helps dental professionals develop a proactive treatment plan tailored to each patient’s needs.
Causes
Their is no clear cause of hyperdontia.There have been studies that suggest that there may be a genetic factor in hyperdontia consisting of an autosomal dominant trait with low penetrance (only sometimes producing supernumerary teeth in a carrier of the mutated gene). Other possible causes include environmental factors and over activity of the dental lamina during tooth development. The dental lamina is a zone of cells that initiates the formation of the tooth germ, which forms the tooth.
Treatment
Treatment for hyperdontia can vary from person to person. The most common approach is an extraction. Since hyperdontia commonly occurs around the permanent anterior incisors of the maxillary arch (next to your top front teeth), it can be an orthodontic and a cosmetic concern. It is always best to talk with your dental health professional at Gentle Dental Family Care in Kew Gardens about the proper treatment for you.
Approach to Hyperdontia Removal and Management
Not every case of hyperdontia requires removal. However, if the extra tooth is causing discomfort, disrupting the bite, or impacting adjacent teeth, extraction may be recommended. Dental professionals usually assess each case based on the number, location, and shape of the supernumerary teeth. If you or your child is dealing with hyperdontia, consulting with a dentist is the best step to explore options for care, including the possibility of hyperdontia removal when necessary.
Your Dental Health
When it comes to your health, both that of your mouth and your overall well-being, trust in the dentists at Gentle Dental Family Care. If you have any of the symptoms of hyperdontia we recommend visiting your Gentle Dental Dentist for an exam. Your dentist will be able to identify any symptoms and send you to the right professionals for further care. Gentle Dental Family Care is the best dental practice in the Kew Gardens, Queens, NY 11415 area and we are open on Sundays as well as late evenings. All new patients may also take advantage of our $99 Cleaning Special that includes an exam and x-rays. To set up your appointment give us a call at (718) 849-9797. We also welcome walk-ins, to accommodate patients with a busy schedule. We hope to see you soon!

